健康整齊的牙齒不只讓人輕鬆的大啖美食,也是美麗的加分標準。但在生長發育過程中,骨頭與牙齒不斷改變,許多父母期盼孩子未來能擁有完美比例的臉型,以及錯過青春期的成年男女,都希望透過矯正使臉型變得更出色,這些更少不了牙科醫師的協助。主要是每個人的骨頭發展不同,不能單從牙齒來看,下巴顎骨形狀與牙周的健康與否也有很大的影響。此次邀請齒顎矯正專家劉志彬醫師帶大家深入了解齒顎矯正;現在就跟著擁有豐富經驗的劉醫師一起進入齒顎矯正的世界吧!
齒顎矯正專家 劉志彬醫師
FB粉專 https://www.facebook.com/JoshtheOrthodontist/
劉志彬醫師擁有10年豐富的齒顎矯正經歷,為英國愛丁堡皇家外科學院 齒顎矯正專科院士、中華民國衛福部部定 齒顎矯正專科醫師,現為桃園風采矯正中心專科醫師,擅長齒顎矯正、隱形矯正,以其精湛醫學技術改善患者齒顎問題,找回美麗與自信。
想讓牙齒變整齊
除了牙齒,下巴顎骨也不能放過
Q. 為何要進行齒顎矯正?
矯正有三大目的:
1.美觀
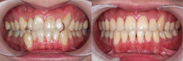
有些人牙齒暴,想藉由矯正把牙齒往內拉,達到改善外觀的目的。
改善美觀
2.功能
有些患者因為怕看牙齒,蛀牙了也不處理,久而久之蛀洞越來越大,到最後只能走入被拔掉的命運(小問題不處理往往造成大問題)。在缺牙的案例中,矯正醫師的任務就是幫助補綴科(假牙專科)醫師重新分配空間,以利假牙的製作,恢復咬合功能。
功能性的改變
3.健康
牙齒排列不整齊很難刷牙,即便用很好的牙線或牙尖刷等工具也不一定可以清理乾淨,這樣容易很影響牙周的健康,這時就需要透過矯正把牙齒排列整齊以避免牙周病的發生。
健康上的改變
Q.哪些人不適合做矯正?傳統矯正是否能解決所有的咬合不正?
1.患有骨質疏鬆症且有吃抑制骨頭代謝藥物的患者。
2.上下顎骨暴出牙齒卻非常平整的患者即使使用傳統矯正仍無法達成理想的結果,這是因為這類硬是將前牙往後拉的案例反而是在折騰牙齒。因此建議以正顎手術加上傳統矯正將顎骨拉回正軌,解決患者骨暴的問題。同樣的,針對骨性戽斗也只能透過正顎手術搭配傳統矯正解決顎骨問題。
Q.矯正中懷孕 OK嗎 ?
一般來說在矯正中懷孕是沒有問題的,但如果已經懷孕就不會拍攝X光片。簡單的療程或非侵入性的手術以及局部麻醉皆可在懷孕中期 (4~6個月中)進行。若患有高血壓、糖尿病等症狀的孕婦並不適合進行這些治療,需經由婦產科醫師確認後才可進行。
另外,懷孕時期由於荷爾蒙分泌容易造成牙齦腫脹,導致刷牙不易,我們會請患者特別留意清潔,保持牙周健康。
Q.牙齒矯正有哪幾種方式?
矯正方式有傳統矯正和隱形矯正,這兩者最大的差別是生物機械作用方式不同,需先請矯正專科醫師評估哪一種方式最適合患者。
傳統牙套
就是在牙齒黏上矯正器,再將矯正線放上去,以機械力學原理拉住牙齒使其靠攏,達到矯正目的,又可分成金屬和陶瓷矯正器。由於牙齒表面上黏著許多矯正器,因此常會聽到俗稱的鋼牙。
傳統矯正器
一般自鎖式矯正器
戴蒙矯正器
陶瓷自鎖式矯正器
隱形牙套
為了避免傳統矯正器所帶來的尷尬笑容,隱形牙套因此問世。這是一個透過電腦軟體(Clincheck) 排列牙齒並設計定位的矯正器。不同的隱形矯正系統牙齒移動量各有差異,且在裝上牙套時會在牙齒表面黏上樹脂材質的豆豆,一天至少要配戴22個小時以上,讓牙齒透過隱形牙套推擠移動,並達到牙齒排列整齊的目的。
隱形牙套
傳統和隱形牙套各有所長,矯正醫師會依個人咬合狀況,選擇合適的矯正系統,以達成最佳治療效果。
Q.小朋友與成人矯正有何差別?
基本上,骨頭的可塑性是最大的差別。由於小朋友的骨骼還沒有完全定型,因此可塑性比成人來得更高,更有調整的空間。
正在生長發育的小朋友,若是上下顎骨落差比較大的時候,我們會評估是上顎骨暴/下顎後縮還是牙齒暴,如果是牙齒暴就先進行局部矯正或配戴一些簡單的活動矯正裝置,目的是預防小朋友運動傷害撞斷門牙。
如果是上顎骨暴/下顎後縮的案例,我們就會讓小朋友配戴功能性矯正裝置(源自歐洲學派),趁小朋友生長發育高峰期前後,透過這種功能性矯正方式,讓骨頭有更好的環境發育生長。因此小朋友若有顎骨落差的情況,家長不妨提早讓小朋友介入早期矯正治療。值得一提的是,小朋友的最佳矯正黃金時期為生長高峰期前後,女生為11~13歲,男生為13~15歲。
此外,小朋友的戽斗問題也是家長關注的情況之一。如果家族有戽斗的臉型,更是讓家長擔心小孩是否也有戽斗的遺傳。由於骨性戽斗的基因表現非常強大,提早介入治療 ‘戽斗’可能沒幾年又長出來,因此建議小朋友步入18歲以後再以正顎手術進行治療。另外,有一種戽斗是咬合干擾所引起的。由於上下門牙錯咬,小朋友會刻意讓下巴往前以避開上下門牙的撞擊,因此小朋友就有戽斗的臉型,我們稱之為假性戽斗。這類案例就必須提早介入治療,錯咬越早解除,就可以引導上顎骨正常生長發育,下巴就不會有戽斗的表現。
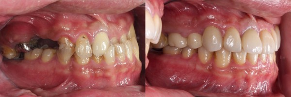
至於成人矯正,有一部份患者是由牙周及假牙專科醫師轉介來的。牙周病患者常認為牙齒很亂沒關係,牙齒能用就好,但站在牙周專科醫師的立場,牙齒排列不整齊是導致牙齒刷不乾淨引發牙周病的主因之一,因此建議患者進行矯正治療。當牙齒排列整齊,刷牙自然而然就會比較乾淨,日後照顧牙周也比較輕鬆,牙周因此不再惡化。
另一部份則是由假牙專科醫師轉介的患者。早期因為治療處置不當,牙齒一旦有問題就索性將有問題的牙齒拔除,這樣缺牙的空間容易造成前後牙齒的傾斜。如果直接做上假牙,會造成前後假牙受力不均勻,進而影響假牙的使用年限。所以我們要為這些缺牙的患者進行全口的矯正評估,重新調整缺牙空間,以利後續的假牙重建。有些縫隙甚至可以透過矯正關閉,這樣反而能替患者省下部分假牙的費用。
另外有些患者為了追求臉部輪廓線條柔和會希望透過矯正達成目標,但是由於成人的骨頭已經定型,沒辦法做太多骨頭上的調整,所以國字臉、臉部歪斜等狀況就必須轉介醫美診所或是以正顎手術解決患者訴求。
Q.矯正中與矯正後需要隔多久做一次回診呢? 有什麼需要特別留意的?
矯正期間患者需4~6週回診調整,一般上患者在初期1~2週內因牙齒開始運動,造成牙齒酸軟咀嚼不易。這樣的情形大多在每次調整完後的第3~4週獲得緩解,建議患者在這段不舒服時期以一些流質或軟質食物來維持正常進食。而矯正器本身多少有些棱角,容易造成患者口腔不舒服,因此會特別教導患者如何使用軟蠟黏貼在矯正器上,避免這些棱角造成口腔黏膜受傷。
在拆除矯正器後患者仍要配戴維持器。維持器分為兩大種類 — 固定式及活動式維持器。固定式維持器是用在一些特殊案例(例如矯正前牙縫過大或是牙齒嚴重旋轉等情況),透過黏著鐵絲在上下前牙內側並用樹脂將其固定住,避免牙齒回復至原先的位置。活動式維持器又可分為白天配戴的透明維持器,以及晚上配戴的金屬鐵絲傳統維持器,建議兩者交替使用以延長維持器的使用壽命。
拆除矯正器後建議一週後回診,之後慢慢把週數拉長至2週 1個月 3個月 6個月。剛拆除矯正器時,牙齒其實非常不穩定,因此乖乖地配戴維持器顯得非常重要。
若使用固定式維持器,鐵絲下方往往會影響清潔效果,因此特別需要加倍的潔牙能力。如果患者沒有辦法好好清潔,就會選擇將其拆掉。
Q 矯正時的口腔衛教說明?
1.由於矯正器的特殊性,牙刷的刷毛需穿過矯正線下方,因此需要注重刷毛的耐用性與彈性。
2.建議使用含氟牙膏,因為氟離子會促進將要脫鈣的牙齒進行再鈣化。
3.選用合適大小的牙尖刷清除牙縫污垢。
4.使用超級牙線,將夾雜在牙縫中的食物碎屑清除,並徹底清潔每個牙縫,避免蛀牙的發生。
由此可見矯正時的潔牙工具較多,因此花的時間也較長,像我裝上矯正器的第一天晚上,就在洗手間待了半小時使用牙線清潔牙縫。其實不管有沒有矯正,仍要使用牙線或牙間刷潔牙,矯正期間更是要加倍清潔牙齒,避免蛀牙或發生牙周病。
風采牙醫
官網 https://pretty-smile.com.tw/index.php
風采矯正中心
桃園市中正路888號
03-3466620#310,311
風采植牙中心
桃園市中正路900號
03-3466622#210,211
診所營業時間
上午09:00-11:30
下午14:00-17:30
晚上18:30-21:30
圖片來源/風采牙醫
查看原始文章商品推薦
- 「牙齒矯正」新攻略!5種方式優缺點大解析 必做4招擺脫「歪斜齒」
- 日本樂天搞怪美妝特輯!鼻型矯正器粉刺橡皮擦雙眼皮面膜,各種搞怪小物讓你大開眼界~
- 顏值飆升就靠一口整齊漂亮的牙,盤點那些整牙後就像整形的女星~
- 【台中隱形牙套】 想做隱適美? 推薦牙齒矯正美女名醫楊念珊醫師 | 台中西區牙醫
- 國外出現《Pokemon GO》矯正器手機殼 讓你的寶貝球扔好扔滿!
- 小米米家電動沖牙器 眾籌推出,每分鐘能產生 1,400 次脈衝式水柱、45 天長續航,售價僅約 730 元
- 物理治療師:「每天十分鐘【矯正O型腿】拉筋,一個月就讓腿變長三公分」!同時瘦小腿肌肉~完整教學大公開
- 除了lululemon外,還有這5大時尚運動品牌!性感、簡約、狂野風一次看
- 半夜肚子餓都靠養樂多解嘴饞?人間香奈兒Jennie健身飲食菜單大公開~令人羨慕的蜜桃曲線都靠這!
- 包裝完美滿分:全新美少女戰士變身眼影盒,讓你華麗變身!
- 《黑人》牙膏開大絕!推出「仙女專用」粉色星星牙膏!網友:這會卡牙縫吧...
- CITY CAFE冬季「韓國黃金柚香咖啡」!限時三天第二杯半價,加碼7-11兩款冰結STRONG
- 好市多「黃金流沙乳酪塔」上市!經典乳酪塔加上鹹蛋黃流沙夾心,蛋塔控快衝好市多!
- 2019手腕手臂式血壓計推薦:歐姆龍泰爾茂日本精密小米
- 韓國藥妝店OLIVE YOUNG太好買,尤其沒買到TOP6明星商品真的會哭哭~
- 生活多了「它」你會方便許多!2019 新版大創8項隱藏版好物
- 12色襯衫穿搭一次整理!朝氣感女人味就用多彩襯衫來打造
- Good night, 給肌膚滿滿呵護的8款晚安面膜清單
- 買得到算你幸運!韓妞推爆的3款刷具,去韓國絕對不要錯過啊~
- 可以包色!【3INA炫染腮紅】新色美暈你的春天~
- 挽救毛孔作戰!2019開架保濕化妝水推薦,CP值最高是這款!
- 2019最新電競螢幕推薦,曲面還是液晶螢幕好: ACER、MSI微星、ASUS華碩、LG 樂金
- 清純氣質妝必備的「奶茶腮紅」,這5顆最美!請全部打包
- 老爹鞋這樣穿~拯救粗短腿、拉長比例又顯瘦!這些穿搭Tips記起來~
- 怕曬黑看這篇~挑選防曬「3大重點」大公開! 正確挑選防曬乳拒當黑美人~
- 超夢幻「漂浮雲朵蛋糕」日本推出~水果內餡讓人超滿足的!IG上爆紅~
- 女孩夏日大挑戰~超持久底妝全攻略!一整天爆汗都不脫妝~
- 韓妞瘋傳的心測你覺得她在想什麼呢?看看是什麼在阻礙你前進⋯⋯
- 給予你最需要的安慰跟陪伴!最適合當「傾聽者」的四大星座在這~
- 當四位迪士尼公主從童話走到現實裡,你最喜歡哪一位的生活呢?看看你擁有怎樣的「人格特質」~
- 早餐怎麼吃最健康?記得避開這些「地雷食物」~一天的活力就靠這餐!
- SIS們和你的另一伴適合嗎?最佳戀人星座X血型組合!原來這個組合最合拍!
- 日本女生不會做的五件小事,不仔細觀察還真的沒發現!