台灣超過半數的成年人都有牙周病的問題,但大多數人卻會因長期忽略,也沒有定期檢查,導致錯過治療的黃金期,當已經到牙齦萎縮甚至牙齒脫落時,才驚覺事態嚴重,這時候就得花上更多時間和金錢來治療!這次專家會客室特別邀請到風采牙醫診所牙周植牙專家林佩萱醫師,特別針對牙周病的成因及預防方式詳細解說,想要維護牙周的健康,讓牙齒陪你到老,醫師說的話可得要認真筆記!
牙周植牙專家 林佩萱醫師
溫柔專業的林佩萱醫師,是台灣牙周病醫學會牙周專科醫師、中華植體美學醫學會專科醫師。現為桃園風采牙醫診所專科醫師,專長為牙周病科、人工植牙,幫助大家重拾自信笑容。
Q:為什麼會有牙周病?
牙周病顧名思義就是「牙齒周圍」的疾病,主要發生在牙齒和牙齦的交界處,任何年齡都有可能發生,因為是慢性細菌感染所造成,因而又好發於成年人。造成牙周病的主因為口腔清潔不當,牙齒長期附著著無色黏稠薄膜中的細菌,導致牙齦出現發炎紅腫、敏感、流血甚至齒槽骨被破壞。有抽菸習慣、家族史有牙周病、糖尿病也是牙周病的高危險群。
Q:牙周病會有哪些症狀?
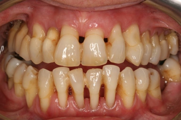
牙周病是漸進式的,初期其實不容易被察覺,不像蛀牙可能會出現疼痛、有孔洞的情形。常見的症狀像是牙齦紅腫發炎,刷牙或使用牙線時容易流血,若放任發炎問題不管,停留在口中的細菌發酵,會導致持續性口臭問題,也會造成牙齦開始萎縮、牙縫變大,牙齒看起來變長,當齒槽骨被破壞到一定程度時,就像房子的地基被掏空,牙齒就會開始動搖甚至鬆脫。
Q:如何治療牙周病?
第一階段:洗牙+口腔衛生訓練
牙周病早期的治療,牙齦是可以復原健康的,醫師會透過超音波洗牙的方式幫助患者將牙齒表面與根部的牙菌斑、結石清除,讓發炎的牙周組織重新緊黏貼牙根表面。並進行口腔衛生訓練,教導患者正確的口腔清潔方式,患者自己也必須要落實、反覆的練習,畢竟預防勝於治療,日常維持口腔環境的清潔,才能有效避免牙周病再復發。
第二階段:牙周手術評估
進行牙周的第一階段基礎治療後,需再回診由醫師檢查牙周恢復狀況,若第一階段治療後問題沒有改善,就會評估進行第二階段牙周手術,幫助去除牙周囊袋較深層的牙結石。牙周手術包含「牙周翻瓣手術」,也就是將牙肉翻開,讓醫師刮除發炎組織,並徹底的清除牙結石,再進行傷口的縫合。若是齒槽骨已出現缺損,則可以透過「牙周再生手術」,放置牙周再生材料如骨粉,重建喪失的骨頭。牙周手術只要在局部麻醉的情形下即可進行,不需要住院,治療後的照護也不影響日常生活。
第三階段:維護性追蹤
在治療牙周病後,除了患者每天持續性地進行正確的口腔清潔外,透過定期的回診追蹤,也能降低牙周病復發機率。建議牙周病患者每隔3~6個月回診,由醫師幫助深層的清潔,避免再成為牙菌斑滋生的溫床。
上圖中箭頭所指處因牙齦下結石堆積,因而造成牙齦呈現紅腫狀態。
經由牙周治療去除結石後可見牙齦恢復健康,呈現粉紅色且不再紅腫,但牙齦
消腫後會造成牙齦萎縮,而萎縮程度跟齒槽骨破壞程度相關。
Q:如何有效預防牙周病的發生?
既然知道細菌滋生是造成牙周病的主要根源,最有效的預防方式,就是從做好口腔清潔做起!可以向牙醫師請教學習正確的方法刷牙,搭配使用牙線,幫助清除依附在牙齒上的牙菌斑、齒縫的食物殘渣等,林佩萱醫師提醒,除了居家口腔清潔外,也建議定期半年到牙科洗牙,由牙醫師進行口腔衛生檢查,以達到早期發現早治療。
Q:正確的刷牙方式?
很多人都會說,明明有刷牙了,為什麼還會得牙周病?這就必須檢視日常的刷牙方式到底正不正確!林佩萱醫師指出幾個常見的錯誤口腔清潔方式,像是只注重齒面的清潔卻忽略縫隙、刷得太大力反而傷害牙齦、刷牙時間太短等,根本沒真正的清除附著在上面細菌、食物殘渣。
想要達到有效的口腔清潔,必須牙刷搭配牙線,牙刷是用來清潔牙齒表面及舌面,牙線則是清潔死角,建議大家選擇刷毛小、材質軟的牙刷,比較不會傷害牙齒及牙齦。使用牙刷在牙齦及牙齒交接處,以45度角的方式輕刷,一次刷兩到三顆牙齒,並要刷進牙齦溝內,每次刷牙至少要兩分鐘,三餐飯後及睡前都要刷牙,減少細菌斑及牙結石附著的機會。如果不確定自己是否有確切地有效地刷牙,可以購買市面上的牙菌斑顯示劑,使用後若發現牙齒有染色,則代表該處未刷乾淨,必須再加強。
圖片提供:風采牙醫診所
這篇文章 【凱鈞的專家會客室】拒當無「齒」族!預防牙周病從正確潔牙做起,牙周植牙專家林佩萱醫師分享護齒秘訣 最早出現於 肌膚美學專家-凱鈞老師。
查看原始文章商品推薦
- (寵物)潔牙白-毛孩健康館,潔牙白深層美白潔牙液,用喝的免刷牙,平時幫助潔牙維護牙齒牙齦健康,貓狗皆可方便使用
- 【天然清潔牙膏瑞士必買】CURAPROX 牙刷愛馬仕│BE YOU 瑞士口腔保健 多效合一牙刷繽紛旅行組│水果草本牙膏 跟著Livia享受人生
- Philips飛利浦│高效空氣動能牙線機/沖牙機│一沖即淨│護齦的好夥伴│用過就會愛上!
- AODMA DY-108 成人音波智能電動牙刷。(秉慈AODMA澳德邁台灣獨家代理)。刷毛採用6mil的杜邦+德國 Pedex變色絲,超細緻。採用磁懸浮馬達,打水效果好,頻率可到41000次/分鐘
- 柯里比賽用咬過的牙套拍賣 得標價超級嚇人!
- 這樣挑選兒童牙刷,收服不刷牙寶寶!
- 沖牙機第一選擇【PORClean抗菌沖牙機 MD20】徹底潔淨牙齦齒縫, 好清潔無死角 有效去除牙菌斑
- (文末抽獎)T-PET 迪貝多 狗狗潔牙凝膠。每週一次,輕鬆解決毛孩口臭問題。附潔牙指套,替毛孩刷牙其實一點也不困難
- 牙齒美白貼片傷琺瑯質?日本超夯秒殺天然美白牙粉,黃漬、口臭一刷清光!
- 覺得自己的牙很黃~又不捨得花錢照藍光美白牙齒!這幾個天然的方法,讓牙齒自然美白!
- 【2019玩水最強攻略】6大台灣水上樂園+3大消暑穿搭一次看
- PTT、Dcard討論度超高人氣內衣!玉如阿姨、黛瑪內衣,5大女孩們必敗的平價內衣品牌
- 2019生活工場必買推薦!週年慶網購全館8折起,家具 抱枕 Hello Kitty多項好物出清讓你買到手軟~
- CITY CAFE冬季「韓國黃金柚香咖啡」!限時三天第二杯半價,加碼7-11兩款冰結STRONG
- 好市多「黃金流沙乳酪塔」上市!經典乳酪塔加上鹹蛋黃流沙夾心,蛋塔控快衝好市多!
- 2019手腕手臂式血壓計推薦:歐姆龍泰爾茂日本精密小米
- 底妝界黑馬!用過才知TOPFACE的好,竟然是混和肌膚的蜜糖
- 跨裝置新幫手!神好用一對三攜帶鍵盤,粉嫩羅技K380超誘人
- 總是穿那幾條牛仔褲?男生該入手的3款褲子,直接跳級變型男!
- 5款頭皮護理水推薦!PTT油頭人狂推~改善頭皮搔癢、油臭味,頭皮長痘也有效!
- 閨蜜旅行去哪玩?適合女生旅遊的5大國家與超人氣景點推薦
- 超欠吃2019全球10大泡麵排行榜出爐,台灣有兩家上榜!
- 2019電動牙刷推薦:飛利浦、Oral-B、小米、Panasonic、大京電販
- 首爾弘大客製化刷具店「Revoir Brush」CP值超高,專業試刷空間、刷具刻字服務,完全是刷具控的天堂!
- 挽救毛孔作戰!2019開架保濕化妝水推薦,CP值最高是這款!
- 超治療貓貓造型羊毛氈~有洞就鑽!奴才們還不趕緊收藏~有你家主子的樣子嗎?
- 【07/27-08/02】十二星座每週愛情運勢 (上集) ~處女座要稍微保持一點警戒心,別太輕易相信剛認識的新對象!
- 造型面紙盒、面紙架推薦!居家、辦公室、浴室、汽車都可用~
- 快來測試自己的水腫程度吧!4個女生對水腫的誤解~只是出汗也不能去水腫啊!
- 生理期來是減肥黃金期?跟著身體週期瘦身!這樣做多瘦3公斤~
- 南投推薦景點【溪部好呆庄民宿】鹿谷親子文創餐廳露營.住宿
- 超夢幻的彩虹玫瑰!是女生們都想收的~花語是「完美,無可挑剔,幸福之花」!
- 美食配海景~好愜意啊!精選好吃又好拍的北海岸下午茶~讓心情CHILL一下
- 運動後更需要好好護膚!這些習慣要記得~做錯小心痘痘、粉刺跟著來!
- SIS們算不算是美女?這幾個特質看出妳的異性緣到底強不強!