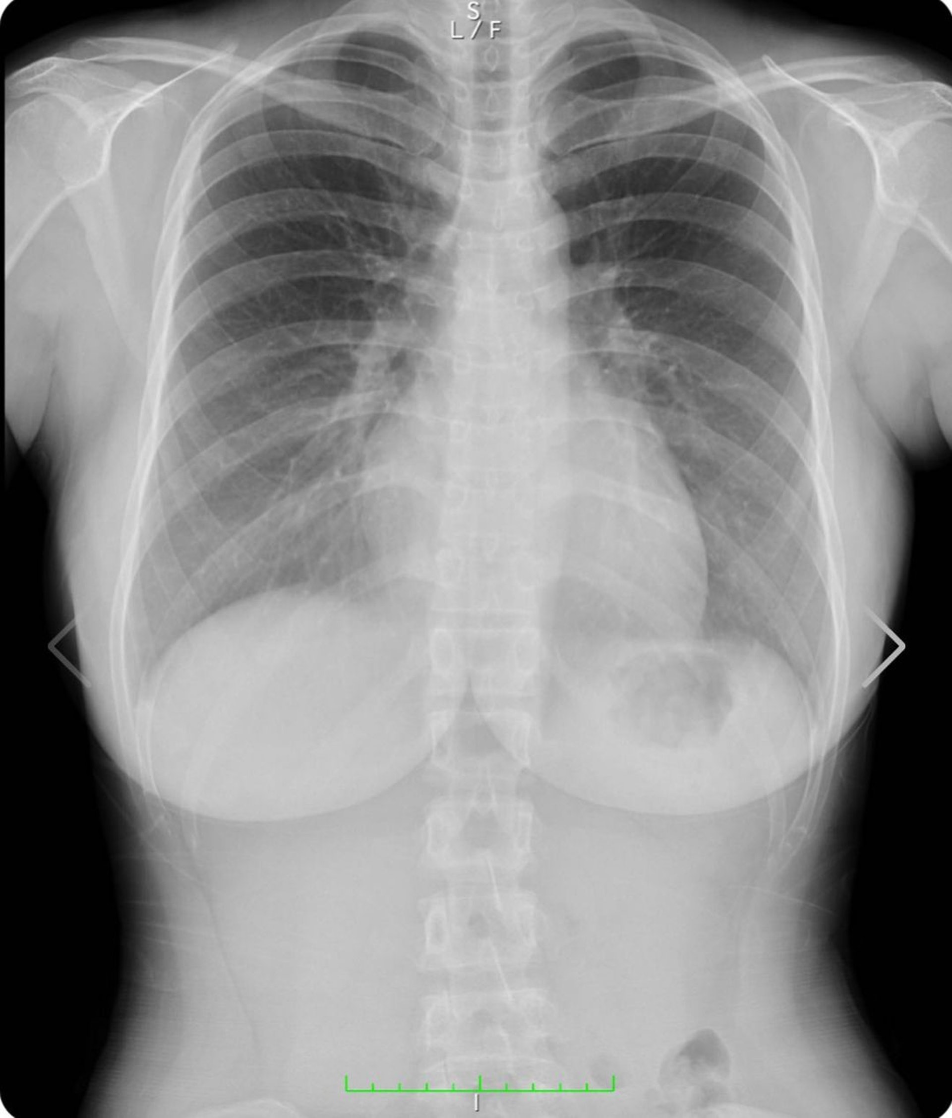
現年25歲的日本寫真女星天木純身材火辣,人氣高居不下之餘,也有不少人懷疑她的胸有沒有後天加工,然而,在日前剛好做完體檢的她,便在社交網站po出自己的胸部x光照片,證明自己完全是沒有後天加工的,大是因為都是遺傳家人的基因!!
▲天木純現年25歲,為日本寫真女星
▲在她自己放出來的x光照片顯示,自己完完全全是純天然的,而右胸的黑影只是胃泡,請各位不要再懷疑她了
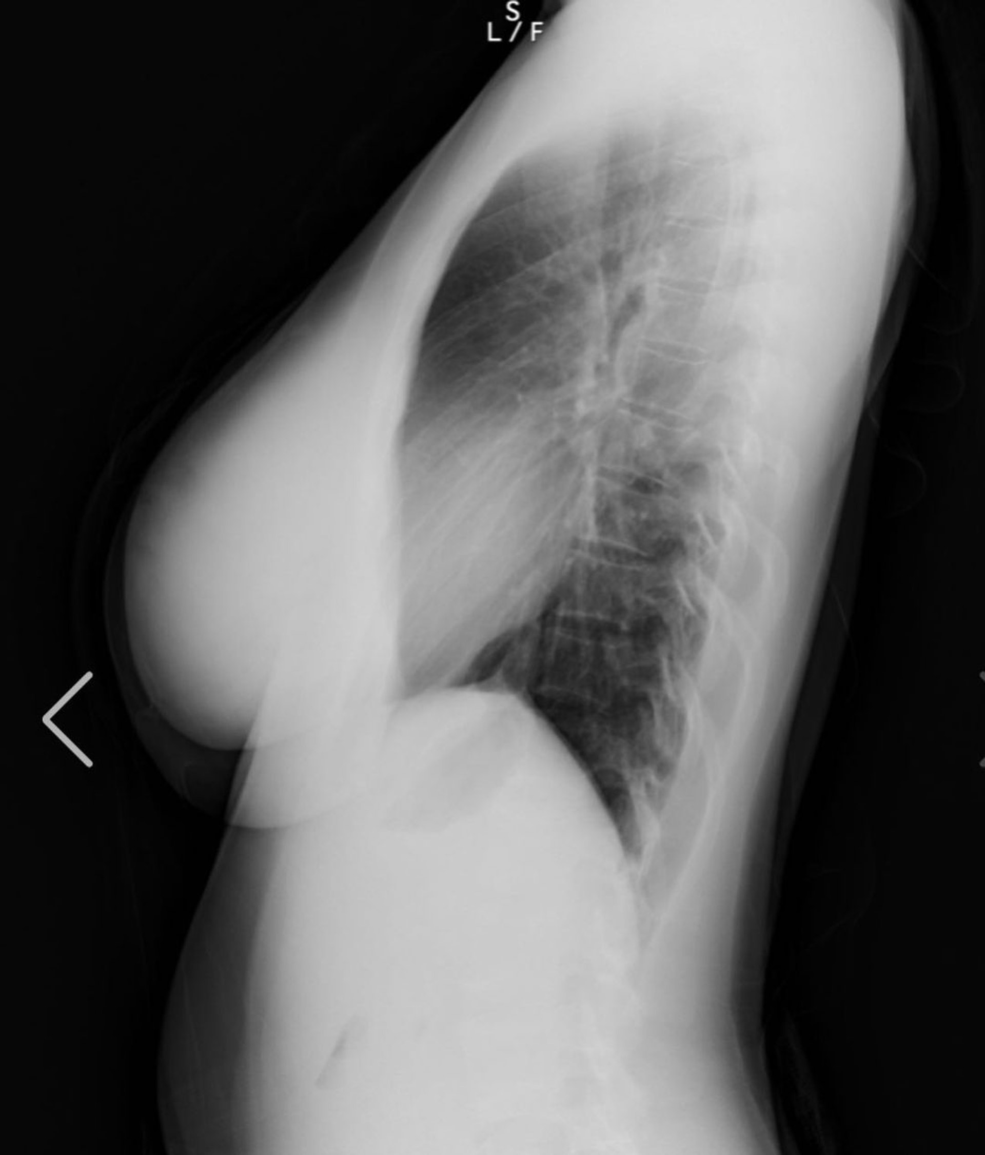
▲還有側面照

現年25歲的日本寫真女星天木純身材火辣,人氣高居不下之餘,也有不少人懷疑她的胸有沒有後天加工,然而,在日前剛好做完體檢的她,便在社交網站po出自己的胸部x光照片,證明自己完全是沒有後天加工的,大是因為都是遺傳家人的基因!!
▲天木純現年25歲,為日本寫真女星
▲在她自己放出來的x光照片顯示,自己完完全全是純天然的,而右胸的黑影只是胃泡,請各位不要再懷疑她了
▲還有側面照